Dr. Ferdinand Bauer is co-author of the book Abstract Objectives: With this thesis we developed a practical web-based tool (iScore) and research infrastructure to investigate and validate visual diagnostic methods…
Categorie: Publicaţii

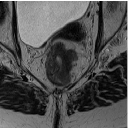
Pearls and pitfalls of structured staging and reporting of rectal cancer on MRI: an international multireader study
Dr. Ferdinand Bauer is a member of the rectal MRI study group and co-author Abstract Objectives: To investigate uniformity and pitfalls in structured radiological staging of rectal cancer. Method: Twenty-one…

Sense and nonsense of yT-staging on MRI after chemoradiotherapy in rectal cancer
Dr. Ferdinand Bauer is a co-author of this article and responsible for Investigation; Writing – review & editing Abstract Aim: The aim of this work was to investigate the value…

rectal MRI study group: Comparison of MRI response evaluation methods in rectal cancer: a multicentre and multireader validation study
Dr. Ferdinand Bauer is a member of the „rectal MRI study group” of this article In a multireader study comparing 4 MRI methods for rectal tumor response evaluation, those incorporating…

IMAGING AND DIAGNOSIS FOR PLANNING THE SURGICAL PROCEDURE
The preoperative imaging diagnosis of rectal cancer lies at the heart of oncological staging and has a crucial influence on patient management and therapy planning. Rectal cancer is common, and…

Pancreatic Cystic Lesions: Diagnostic, Management and Indications for Operation. Part II
We notice an increasing frequency in the detection and evaluation of pancreatic cystic lesions (PCLs) over the last three decades. They show awide spectrum of imaging and clinical features. The…
