Dr. Ferdinand Bauer is co-author of the book Abstract Objectives: With this thesis we developed a practical web-based tool (iScore) and research infrastructure to investigate and validate visual diagnostic methods and staging templates on a large scale within the clinical context of rectal cancer..Main aims and outcomes: MRI plays a...
PEARLS AND PITFALLS OF STRUCTURED STAGING AND REPORTING OF RECTAL CANCER ON MRI: AN INTERNATIONAL MULTIREADER STUDY
Dr. Ferdinand Bauer is a member of the rectal MRI study group and co-authorABSTRACTObjectives: To investigate uniformity and pitfalls in structured radiological staging of rectal cancer.Method: Twenty-one radiologists (12 countries) staged 75 rectal cancers on MRI using a structured reporting template. Interobserver agreement (IOA) was calculated as the percentage agreement...
SENSE AND NONSENSE OF YT-STAGING ON MRI AFTER CHEMORADIOTHERAPY IN RECTAL CANCER
Dr. Ferdinand Bauer is a co-author of this article and responsible for Investigation; Writing – review & editingABSTRACTAim: The aim of this work was to investigate the value of rectal cancer T-staging on MRI after chemoradiotherapy (ymrT-staging) in relation to the degree of fibrotic transformation of the tumour bed as...
COMPARISON OF MRI RESPONSE EVALUATION METHODS IN RECTAL CANCER: A MULTICENTRE AND MULTIREADER VALIDATION STUDY
Dr. Ferdinand Bauer is a member of the „rectal MRI study group“ of this articleIn a multireader study comparing 4 MRI methods for rectal tumor response evaluation, those incorporating DWI showed the best results when combining diagnostic performance, IOA, and reader preference. The most preferred method (by 73% of readers)...
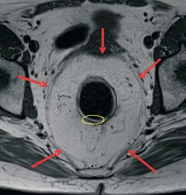
IMAGING AND DIAGNOSIS FOR PLANNING THE SURGICAL PROCEDURE
The preoperative imaging diagnosis of rectal cancer lies at the heart of oncological staging and has a crucial influence on patient management and therapy planning. Rectal cancer is common, and accurate preoperative staging of tumors using high-resolution magnetic resonance imaging (MRI) is a crucial part of modern multidisciplinary team management...
PANCREATIC CYSTIC LESIONS: DIAGNOSTIC, MANAGEMENT AND INDICATIONS FOR OPERATION. PART II
We notice an increasing frequency in the detection and evaluation of pancreatic cystic lesions (PCLs) over the last three decades. They show awide spectrum of imaging and clinical features. The diagnosis and discrimination of these lesions are very important because of the risk for concurrent or later development of malignancy....
PANCREATIC CYSTIC LESIONS: DIAGNOSTIC, MANAGEMENT AND INDICATIONS FOR OPERATION. PART I
We notice an increasing frequency in the detection and evaluation of pancreatic cystic lesions (PCLs) over the last three decades. They show awide spectrum of imaging and clinical features. The diagnosis and discrimination of these lesions are very important because of the risk for concurrent or later development of malignancy....
THE IMPORTANCE OF PREOPERATIVE STAGING OF RECTAL CANCER USING MULTIPARAMETRIC MRI PART II: TNM CANCER STAGING
The reason a A) classic staging, B) modern staging or C) restaging is performed must be taken into consideration in order to have an appropriate staging. In general, staging is performed histopathologically after surgery, and offers information about the pTNM prognosis. The introduction of neoadjuvant therapy placed staging to the...
THE IMPORTANCE OF PREOPERATIVE STAGING OF RECTAL CANCER USING MULTIPARAMETRIC MRI. A SYSTEMATIC REVIEW – PART I
A correct preoperative stadialization of rectal carcinoma has a direct influence upon its therapeutic strategy, resulting in a significant improvement of the survival rate and life quality after the treatment. The therapeutic strategy refers to the option of undergoing or not preoperative radiochemotherapy before the total mesorectal excision (TME). The...





